Metamorfoza uśmiechu po kilku latach – efekt przed i po

Trwałość i estetyka ceramicznych uzupełnień protetycznych mogą zachować swój doskonały wygląd przez wiele lat. Prezentowana metamorfoza uśmiechu to przykład, jak precyzyjnie zaplanowane leczenie protetyczne pozwala uzyskać naturalny, harmonijny i ponadczasowy efekt.
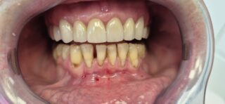
Górne porcelanowe korony zostały wykonane kilka lat temu i do dziś zachowują idealny kolor oraz estetykę. Aby domknąć metamorfozę i przywrócić pełną równowagę uśmiechu, na dolnym łuku zastosowaliśmy porcelanowe licówki, perfekcyjnie dopasowane do istniejących uzupełnień.
Efekt przed i po pokazuje, jak licówki i korony porcelanowe mogą poprawić kształt, kolor oraz proporcje zębów, zapewniając naturalny wygląd i wysoki komfort na co dzień.
Dobrze zaplanowane i precyzyjnie wykonane prace protetyczne to inwestycja na lata – w piękny uśmiech, trwałość oraz funkcjonalność.

